|
|
|
|
| Cat. No. 135 408 |
50 µg purified recombinant IgG, lyophilized. Albumin and azide were added for stabilization. For reconstitution add 50 µl H2O to get a 1mg/ml solution in PBS. Then aliquot and store at -20°C to -80°C until use. Antibodies should be stored at +4°C when still lyophilized. Do not freeze! |
| Applications | |
| Clone | Rb95E11 |
| Subtype | IgG1 (κ light chain) |
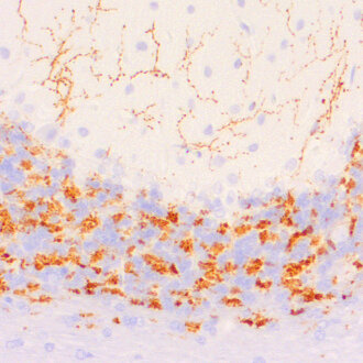
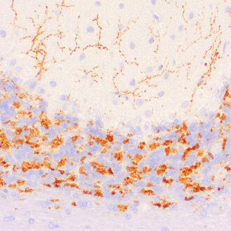
| Immunogen | Synthetic peptide corresponding to residues near the carboxy terminus of rat VGLUT2 (UniProt Id: Q9JI12) |
| Reactivity |
Reacts with: rat (Q9JI12), mouse (Q8BLE7). Other species not tested yet. |
| Specificity | K.O. validated PubMed: 35584670 |
| Matching control protein/peptide | 135-4P |
| Remarks |
This antibody is a chimeric antibody based on the monoclonal mouse antibody clone 95E11. The constant regions of the heavy and light chains have been replaced by rabbit specific sequences. Therefore, the antibody can be used with standard anti-rabbit secondary reagents. The antibody has been expressed in mammalian cells. |
| Data sheet | Datasheet 135_408 |
|
|
The vesicular glutamate transporter 2 VGLUT2, also referred to as DNPI and SLC17A6, has a more restricted expression than the related VGLUT1. Like VGLUT1, it is both necessary and sufficient for uptake and storage of glutamate and thus comprises the sole determinant for a glutamatergic phenotype. Both VGLUTs are different from the plasma membrane transporters in that they are driven by a proton electrochemical gradient across the vesicle membrane.
VGLUT1 and VGLUT2 show complementary expression patterns. Together, they are currently the best markers for glutamatergic nerve terminals and glutamatergic synapses.
For more information on protein expression pattern, please refer to the overview image in our SYSY Antibodies ATLAS.