Tailor-made Antibodies
and Tools for Life Science
Home | | | | | Technical Support

VIP antibody - 443 005

VIP is a peptide hormone with neurotransmitter and neuromodulator functions
Guinea pig polyclonal purified antibody
Cat. No.: 443 005
Amount: 50 µg
Price: $470.00
Cat. No. 443 005 50 µg specific antibody, lyophilized. Affinity purified with the immunogen. Albumin and azide were added for stabilization. For reconstitution add 50 µl H2O to get a 1mg/ml solution in PBS. Then aliquot and store at -20°C to -80°C until use.
Antibodies should be stored at +4°C when still lyophilized. Do not freeze!
Applications
 
WB: not tested yet
IP: not tested yet
ICC: 1 : 100 gallery  
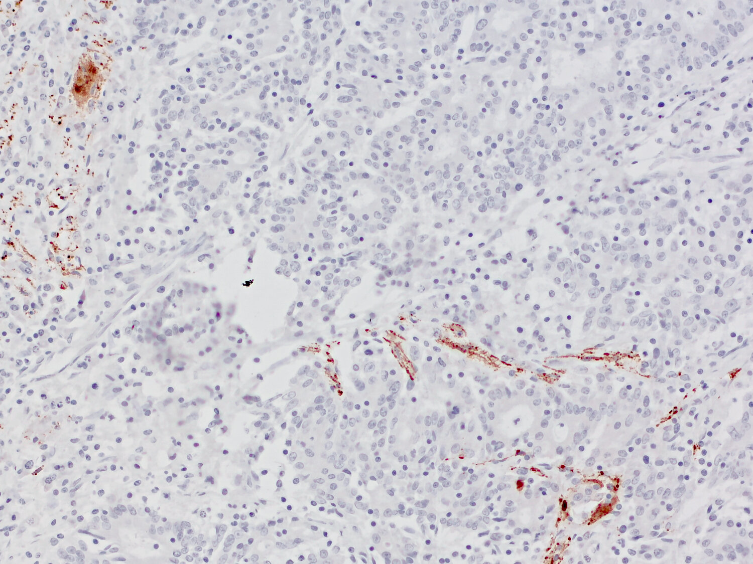
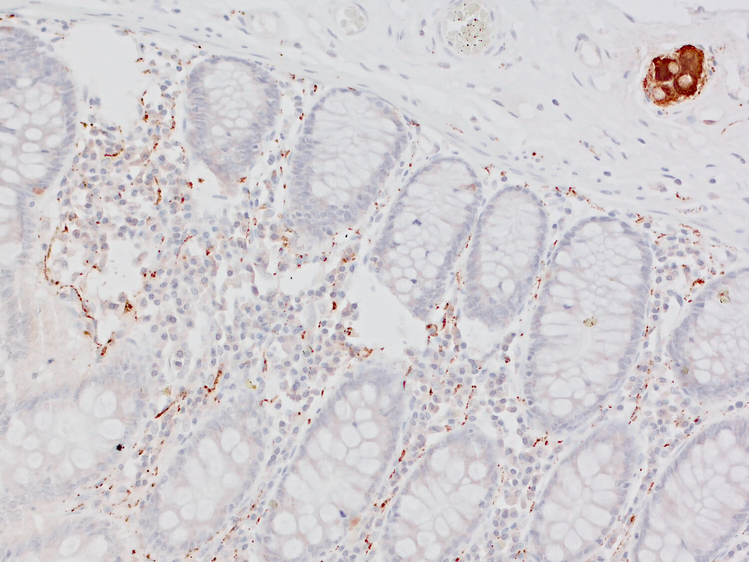
IHC: 1 : 100 up to 1 : 500 gallery  
IHC-P (FFPE): 1 : 100 gallery  

Western blot (WB); separation of proteins by PAGE and subsequent transfer to a membrane. Detection of target molecules is carried out with antibodies. Some antibodies require special sample preparation steps. For details, please refer to the “Remarks” section.

Immunoprecipitation (IP); Immunoisolation or pulldown of a target molecule using an antibody. For details and product specific hints, please refer to the ”Remarks” section.

Immunocytochemistry (ICC) on 4% PFA fixed cells. Immunoreactivity is usually revealed by fluorescence. Some antibodies require special fixation methods. For details, please refer to the “Remarks” section.

Immunohistochemistry (IHC) on 4% PFA perfusion fixed tissue with 24h PFA post fixation. Immunoreactivity is usually revealed by fluorescence or a chromogenic substrate. Some antibodies require special fixation methods or antigen retrieval steps. For details, please refer to the ”Remarks” section.

Immunohistochemistry (IHC-P) of formalin fixed, paraffin embedded (FFPE) tissue (some antibodies require special antigen retrieval steps, please refer to the ”Remarks” section). Immunoreactivity is usually revealed by fluorescence or a chromogenic substrate.

Immunogen Synthetic peptide corresponding to AA 125 to 152 from mouse VIP (UniProt Id: P32648)
Reactivity Reacts with: mouse (P32648), rat (P01283), human (P01282).
Other species not tested yet.
Specificity The antibody is specific for VIP. It may crossreact with the precursor protein, but does not recognize the related neuropeptide PACAP.
Data sheet Datasheet 443_005

References for VIP - 443 005

Generation of self-organized autonomic ganglion organoids from fibroblasts.
Liu S, Xiang K, Yuan F, Xiang M
iScience (2023) 263: 106241. 443 005 ICC, IHC; tested species: mouse
Ciliary neuropeptidergic signaling dynamically regulates excitatory synapses in postnatal neocortical pyramidal neurons.
Tereshko L, Gao Y, Cary BA, Turrigiano GG, Sengupta P
eLife (2021) 10: . 443 005 ICC; tested species: rat
INSIHGT: an accessible multi-scale, multi-modal 3D spatial biology platform.
Yau CN, Hung JTS, Campbell RAA, Wong TCY, Huang B, Wong BTY, Chow NKN, Zhang L, Tsoi EPL, Tan Y, Li JJX, et al.
Nature communications (2024) 151: 10888. 443 005 IHC; tested species: mouse
Mouse hippocampal CA1 VIP interneurons detect novelty in the environment and support recognition memory.
Tamboli S, Singh S, Topolnik D, El Amine Barkat M, Radhakrishnan R, Guet-McCreight A, Topolnik L
Cell reports (2024) 434: 114115. 443 005 IHC; tested species: mouse
Generation of self-organized autonomic ganglion organoids from fibroblasts.
Liu S, Xiang K, Yuan F, Xiang M
iScience (2023) 263: 106241. 443 005 ICC, IHC; tested species: mouse
Cat. No.: 443 005
Amount: 50 µg
Price: $470.00
Generation of self-organized autonomic ganglion organoids from fibroblasts.
Liu S, Xiang K, Yuan F, Xiang M
iScience (2023) 263: 106241. 443 005 ICC, IHC; tested species: mouse
Ciliary neuropeptidergic signaling dynamically regulates excitatory synapses in postnatal neocortical pyramidal neurons.
Tereshko L, Gao Y, Cary BA, Turrigiano GG, Sengupta P
eLife (2021) 10: . 443 005 ICC; tested species: rat
INSIHGT: an accessible multi-scale, multi-modal 3D spatial biology platform.
Yau CN, Hung JTS, Campbell RAA, Wong TCY, Huang B, Wong BTY, Chow NKN, Zhang L, Tsoi EPL, Tan Y, Li JJX, et al.
Nature communications (2024) 151: 10888. 443 005 IHC; tested species: mouse
Mouse hippocampal CA1 VIP interneurons detect novelty in the environment and support recognition memory.
Tamboli S, Singh S, Topolnik D, El Amine Barkat M, Radhakrishnan R, Guet-McCreight A, Topolnik L
Cell reports (2024) 434: 114115. 443 005 IHC; tested species: mouse
Generation of self-organized autonomic ganglion organoids from fibroblasts.
Liu S, Xiang K, Yuan F, Xiang M
iScience (2023) 263: 106241. 443 005 ICC, IHC; tested species: mouse
Background

VIP (Vasoactive intestinal peptide) is a 28 amino acid peptide hormone, a member of the secretin/glucagon superfamily, and evolutionarily well conserved. It is synthesized as part of a larger propeptide which is proteolytically processed to release bioactive VIP as well as two other neuropeptides.

VIP is expressed in gastrointestinal tissues and in the central and peripheral nervous system. It is released from neurons upon depolarization and is known to stimulate adenylyl cyclase.

In the brain, VIP acts as a neurotransmitter and is involved in rhythm generation in the suprachiasmatic nucleus, the regulation of neuroendocrine secretions in the hypothalamus and energy metabolism of glial cells.

Peripherally, VIP influences many functions including blood flow and cardiac output, smooth muscle activity, secretion in the digestive tract, gastric motility, bronchodilation and activity within the hypothalamic-pituitary-adrenal axis.

The Verner-Morrison or Watery Diarrhea Hypokalemia and Achlorhydria (WDHA) syndrome is a characteristic clinical syndrome associated with overproduction of VIP from endocrine tumors.

 

For more information on protein expression pattern, please refer to the overview image in our SYSY Antibodies ATLAS.

Certificates

ISO 9001 2015 Quality Management System and Green Lab Platinum certification level for sustaining laboratory processes.

Newsletter

Sign up for our newsletter and get the latest updates and news.
 

Please provide a valid E-Mail-Address
Please provide a valid First name
Please provide a valid Last name