Tailor-made Antibodies
and Tools for Life Science
Home | | | | | Technical Support

CGRP antibody - 414 004

CGRP is a potent peptide vasodilator that can function in the transmission of pain
Guinea pig polyclonal antiserum
Cat. No.: 414 004
Amount: 100 µl
Price: $370.00
Cat. No. 414 004 100 µl antiserum, lyophilized. For reconstitution add 100 µl H2O, then aliquot and store at -20°C until use.
Antibodies should be stored at +4°C when still lyophilized. Do not freeze!
Applications
 
ICC: 1 : 500 gallery  
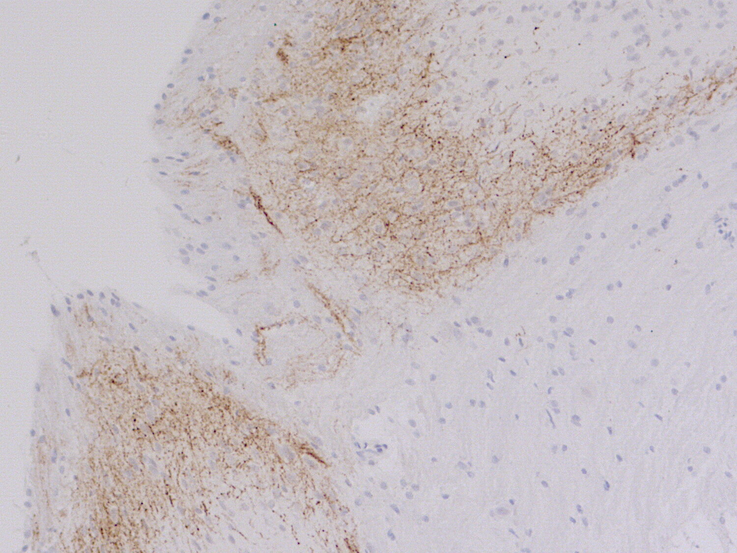
IHC: 1 : 500 gallery  
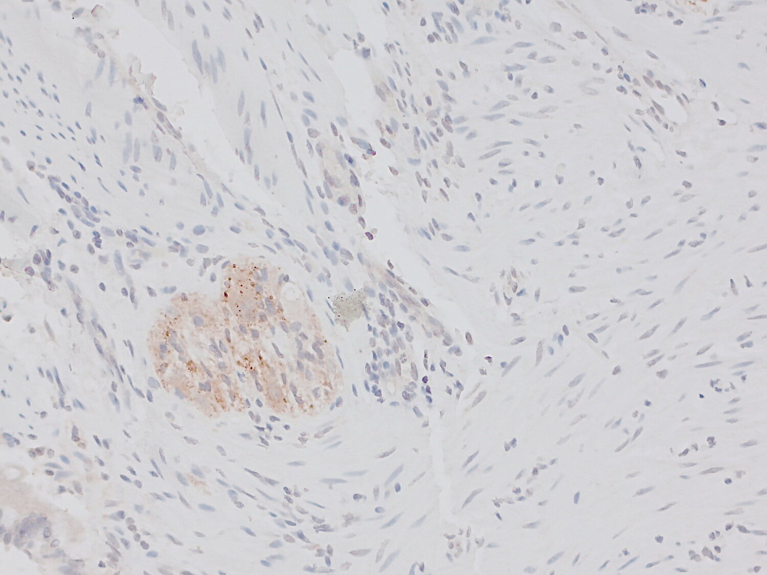
IHC-P (FFPE): 1 : 1000 gallery  
iDISCO: external data (see remarks)
Clarity: external data (see remarks)

Immunocytochemistry (ICC) on 4% PFA fixed cells. Immunoreactivity is usually revealed by fluorescence. Some antibodies require special fixation methods. For details, please refer to the “Remarks” section.

Immunohistochemistry (IHC) on 4% PFA perfusion fixed tissue with 24h PFA post fixation. Immunoreactivity is usually revealed by fluorescence or a chromogenic substrate. Some antibodies require special fixation methods or antigen retrieval steps. For details, please refer to the ”Remarks” section.

Immunohistochemistry (IHC-P) of formalin fixed, paraffin embedded (FFPE) tissue (some antibodies require special antigen retrieval steps, please refer to the ”Remarks” section). Immunoreactivity is usually revealed by fluorescence or a chromogenic substrate.

iDISCO is a fast and cost-effective sample preparation method for clearing, immunolabeling and volume imaging of large biological samples. The clearing is carried out by benzyl-ether treatment. For additional experimental details, please refer to the „Remarks“ section or visit https://idisco.info.

Clarity is a sample preparation method for clearing, immunolabeling and volume imaging of large biological samples. Clearing is carried out by SDS and Focusclear treatment. For additional experimental details, please refer to the Remarks section.

Immunogen Synthetic peptide corresponding to AA 100 to 119 from mouse Calcitonin gene-related peptide 1 (UniProt Id: Q99JA0)
Reactivity Reacts with: mouse (Q99JA0), rat (P01256), human (P06881), monkey.
Other species not tested yet.
Specificity This antibody recognizes α-CGRP. It may crossreact with the unprocessed precursor protein and with β-CGRP due to sequence homology.
Remarks

iDISCO: This antibody has been successfully applied and published for this method by customers (see application-specific references).
Clarity: This antibody has been successfully applied and published for this method by customers (see application-specific references).

Data sheet Datasheet 414_004

References for CGRP - 414 004

Molecular and functional profiling of cell diversity and identity in the lateral superior olive, an auditory brainstem center with ascending and descending projections.
Maraslioglu-Sperber A, Pizzi E, Fisch JO, Kattler K, Ritter T, Friauf E
Frontiers in cellular neuroscience (2024) 18: 1354520. 414 004 IHC; tested species: mouse
Sensory innervation of masseter, temporal and lateral pterygoid muscles in common marmosets.
Hovhannisyan AH, Lindquist K, Belugin S, Mecklenburg J, Ibrahim T, Tram M, Corey T, Salmon A, Ruparel S, Ruparel S, Akopian A, et al.
bioRxiv : the preprint server for biology (2023) : . 414 004 IHC; tested species: marmoset
GIPR Agonism Inhibits PYY-Induced Nausea-Like Behavior.
Samms RJ, Cosgrove R, Snider BM, Furber EC, Droz BA, Briere DA, Dunbar J, Dogra M, Alsina-Fernandez J, Borner T, De Jonghe BC, et al.
Diabetes (2022) 717: 1410-1423. 414 004 iDISCO; tested species: mouse
Prox2 and Runx3 vagal sensory neurons regulate esophageal motility.
Lowenstein ED, Ruffault PL, Misios A, Osman KL, Li H, Greenberg RS, Thompson R, Song K, Dietrich S, Li X, Vladimirov N, et al.
Neuron (2023) : . 414 004 Clarity; tested species: mouse
Cat. No.: 414 004
Amount: 100 µl
Price: $370.00
Molecular and functional profiling of cell diversity and identity in the lateral superior olive, an auditory brainstem center with ascending and descending projections.
Maraslioglu-Sperber A, Pizzi E, Fisch JO, Kattler K, Ritter T, Friauf E
Frontiers in cellular neuroscience (2024) 18: 1354520. 414 004 IHC; tested species: mouse
Sensory innervation of masseter, temporal and lateral pterygoid muscles in common marmosets.
Hovhannisyan AH, Lindquist K, Belugin S, Mecklenburg J, Ibrahim T, Tram M, Corey T, Salmon A, Ruparel S, Ruparel S, Akopian A, et al.
bioRxiv : the preprint server for biology (2023) : . 414 004 IHC; tested species: marmoset
GIPR Agonism Inhibits PYY-Induced Nausea-Like Behavior.
Samms RJ, Cosgrove R, Snider BM, Furber EC, Droz BA, Briere DA, Dunbar J, Dogra M, Alsina-Fernandez J, Borner T, De Jonghe BC, et al.
Diabetes (2022) 717: 1410-1423. 414 004 iDISCO; tested species: mouse
Prox2 and Runx3 vagal sensory neurons regulate esophageal motility.
Lowenstein ED, Ruffault PL, Misios A, Osman KL, Li H, Greenberg RS, Thompson R, Song K, Dietrich S, Li X, Vladimirov N, et al.
Neuron (2023) : . 414 004 Clarity; tested species: mouse
Background

Calcitonin gene-related peptide (CGRP) is a 37-amino acid peptide produced by alternative splicing of calcitonin gene transcripts. It is characterized by a six amino acid ring structure linked by a disulfide bridge and an amidated C-terminus.

CGRP is present in parafollicular cells (C-cells) of the thyroid and in central and peripheral nerves. It is a potent vasodilator and can function in the transmission of pain. It has a major role in migraine pathophysiology, and CGRP antibodies have been used successfully in immunoneutralization.

 

For more information on protein expression pattern, please refer to the overview image in our SYSY Antibodies ATLAS.

Certificates

ISO 9001 2015 Quality Management System and Green Lab Platinum certification level for sustaining laboratory processes.

Newsletter

Sign up for our newsletter and get the latest updates and news.
 

Please provide a valid E-Mail-Address
Please provide a valid First name
Please provide a valid Last name