Tailor-made Antibodies
and Tools for Life Science
Home | | | | | Technical Support

MAP2 antibody - 188 005

MAP2 is a major microtubule associated protein in neurons
Guinea pig polyclonal purified antibody
Cat. No.: 188 005
Amount: 50 µg
Price: $465.00
Cat. No. 188 005 50 µg specific antibody, lyophilized. Affinity purified with the immunogen. Albumin and azide were added for stabilization. For reconstitution add 50 µl H2O to get a 1mg/ml solution in PBS. Then aliquot and store at -20°C to -80°C until use.
Antibodies should be stored at +4°C when still lyophilized. Do not freeze!
Applications
 
WB: 1 : 1000 (AP staining) (see remarks) gallery  
IP: not tested yet
ICC: 1 : 500 up to 1 : 1000 gallery  
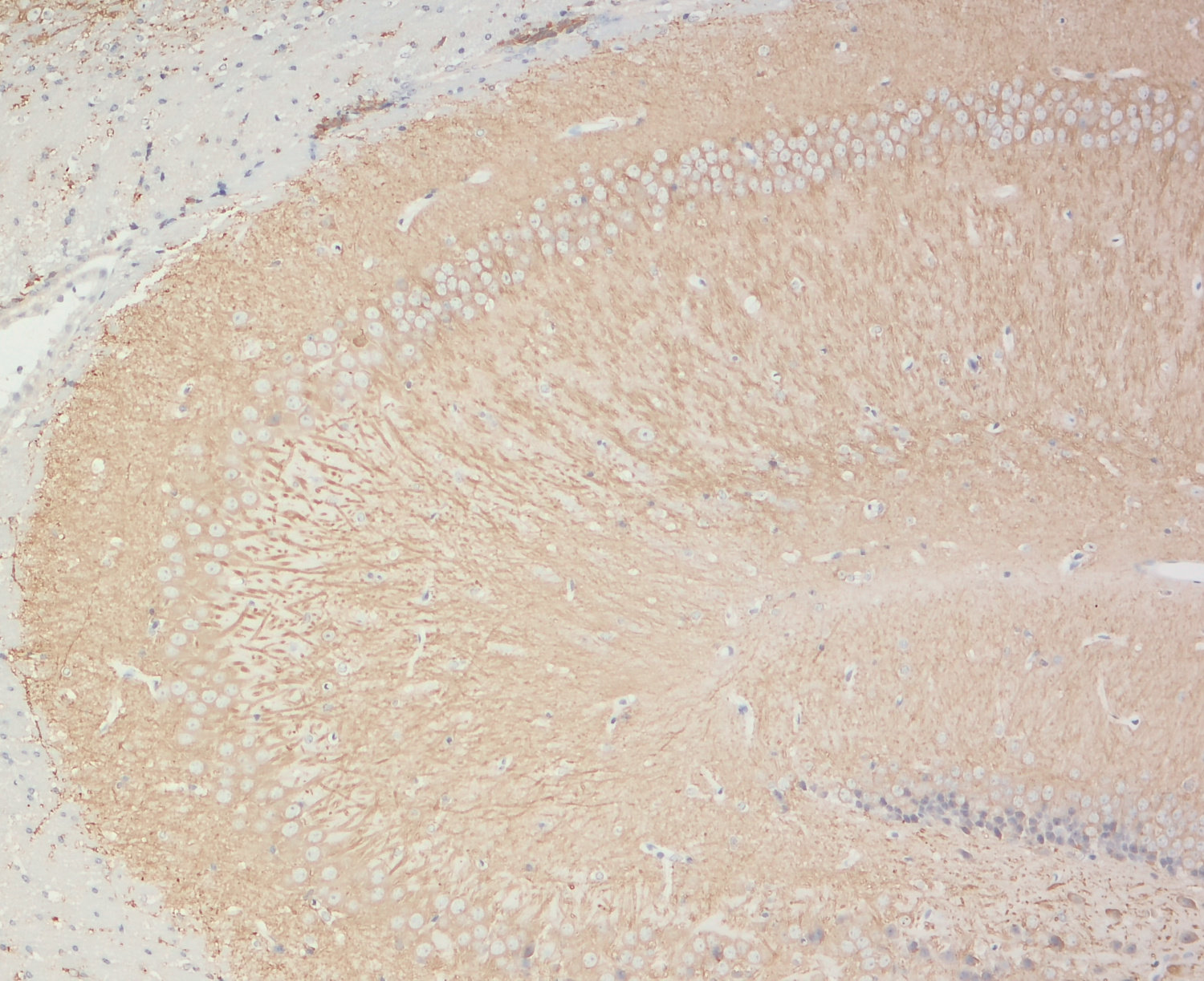
IHC: 1 : 500 gallery  
IHC-P (FFPE): 1 : 500 gallery  

Western blot (WB); separation of proteins by PAGE and subsequent transfer to a membrane. Detection of target molecules is carried out with antibodies. Some antibodies require special sample preparation steps. For details, please refer to the “Remarks” section.

Immunoprecipitation (IP); Immunoisolation or pulldown of a target molecule using an antibody. For details and product specific hints, please refer to the ”Remarks” section.

Immunocytochemistry (ICC) on 4% PFA fixed cells. Immunoreactivity is usually revealed by fluorescence. Some antibodies require special fixation methods. For details, please refer to the “Remarks” section.

Immunohistochemistry (IHC) on 4% PFA perfusion fixed tissue with 24h PFA post fixation. Immunoreactivity is usually revealed by fluorescence or a chromogenic substrate. Some antibodies require special fixation methods or antigen retrieval steps. For details, please refer to the ”Remarks” section.

Immunohistochemistry (IHC-P) of formalin fixed, paraffin embedded (FFPE) tissue (some antibodies require special antigen retrieval steps, please refer to the ”Remarks” section). Immunoreactivity is usually revealed by fluorescence or a chromogenic substrate.

Immunogen Recombinant protein corresponding to residues near the amino terminus of human Map2 (UniProt Id: P11137-4)
Reactivity Reacts with: mouse (P20357), rat (P15146).
Other species not tested yet.
Predicted to cross-react with human (P11137) due to high sequence homology.
Remarks

WB: Due to the large size of this protein, we recommend NuPAGE 3-8% Tris-Acetate gels for SDS-PAGE.

Data sheet Datasheet 188_005
Cat. No.: 188 005
Amount: 50 µg
Price: $465.00

MAP2, GFAP and BCAS1 staining of cultured primary rat hippocampus cells

Background

There are two major classes of heat-stable microtubule-associated proteins (MAPs): MAP2 and tau (MAPT). Both bind microtubules and regulate their polymerization and stability—a critical process for maintaining cellular architecture and dynamics (1).


MAP2 exists in four main isoforms—MAP2A, MAP2B, MAP2C, and MAP2D—via alternative splicing. The high molecular weight isoforms MAP2A/B (~250 kDa) and lower molecular weight isoforms MAP2C/D (~70 kDa) all share a conserved microtubule-binding core domain, important for dendritic stabilization and neuritogenesis (2).


Since microtubule dynamics are central to cell division, migration, and morphology, aberrations in MAP2 and tau expression have been implicated in several types of cancer. 


Consequently, MAP2 expression has diagnostic and prognostic relevance in neuro-oncology. MAP2 immunoreactivity helps distinguish glial neoplasms in neuropathology, and its expression tends to vary according to tumor grade (3). While classic low-grade gliomas often show robust MAP2 staining, higher-grade tumors may exhibit less-specific and more heterogeneous patterns. Moreover, in melanoma, reduced MAP2 expression correlates with increased tumor aggressiveness, underscoring its potential role as a tumor suppressive marker (4).

Certificates

ISO 9001 2015 Quality Management System and Green Lab Platinum certification level for sustaining laboratory processes.

Newsletter

Sign up for our newsletter and get the latest updates and news.
 

Please provide a valid E-Mail-Address
Please provide a valid First name
Please provide a valid Last name