Tailor-made Antibodies
and Tools for Life Science
Home | | | | | Technical Support

GFAP antibody - 173 211 K.O.

GFAP is an astrocyte-specific type-III intermediate filament protein
Mouse monoclonal purified IgG
Cat. No.: 173 211
Amount: 100 µg
Price: $420.00
Cat. No. 173 211 100 µg purified IgG, lyophilized. Albumin and azide were added for stabilization. For reconstitution add 100 µl H2O to get a 1mg/ml solution in PBS. Then aliquot and store at -20°C to -80°C until use.
Antibodies should be stored at +4°C when still lyophilized. Do not freeze!
Applications
 
WB: 1 : 1000 (AP staining) (see remarks) gallery  
IP: yes
ICC: 1 : 500 up to 1 : 1000 gallery  
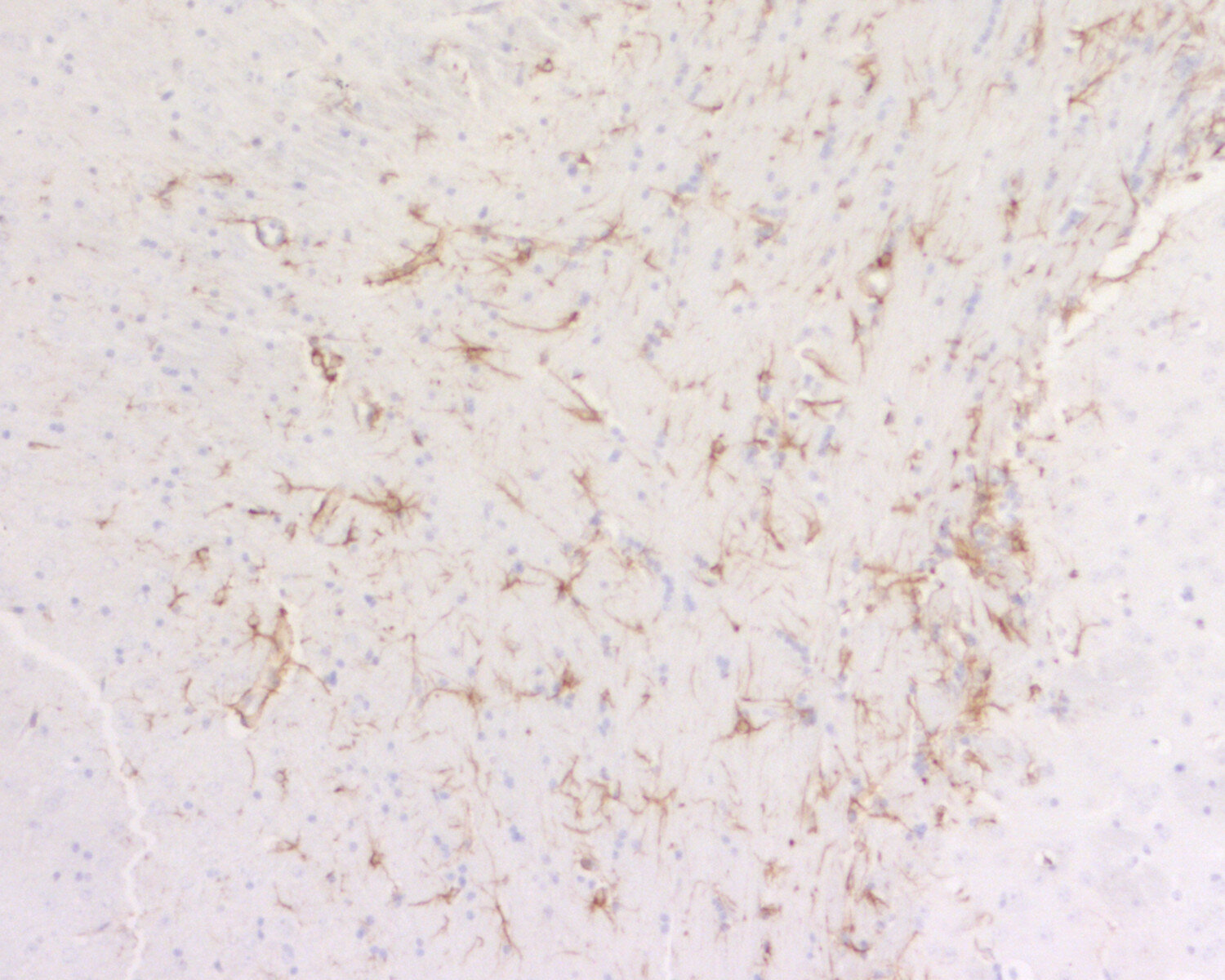
IHC: 1 : 500 gallery  
IHC-P: 1 : 200 up to 1 : 1000 gallery  

Western blot (WB); separation of proteins by PAGE and subsequent transfer to a membrane. Detection of target molecules is carried out with antibodies. Some antibodies require special sample preparation steps. For details, please refer to the “Remarks” section.

Immunoprecipitation (IP); Immunoisolation or pulldown of a target molecule using an antibody. For details and product specific hints, please refer to the ”Remarks” section.

Immunocytochemistry (ICC) on 4% PFA fixed cells. Immunoreactivity is usually revealed by fluorescence. Some antibodies require special fixation methods. For details, please refer to the “Remarks” section.

Immunohistochemistry (IHC) on 4% PFA perfusion fixed tissue with 24h PFA post fixation. Immunoreactivity is usually revealed by fluorescence or a chromogenic substrate. Some antibodies require special fixation methods or antigen retrieval steps. For details, please refer to the ”Remarks” section.

Immunohistochemistry (IHC-P) of formalin fixed, paraffin embedded (FFPE) tissue (some antibodies require special antigen retrieval steps, please refer to the ”Remarks” section). Immunoreactivity is usually revealed by fluorescence or a chromogenic substrate.

Clone 186C6
Subtype IgG1 (κ light chain)
Immunogen full-length recombinant human GFAP (UniProt Id: P14136)
Epitop AA 1 to 15 from human GFAP (UniProt Id: P14136)
Reactivity Reacts with: human (P14136), rat (P47819), mouse (P03995), cow.
Other species not tested yet.
Specificity Specific for GFAP, detects all isoforms. K.O. validated
Matching control protein/peptide 173-0P
Remarks

WB: The monoclonal antibodies are less sensitive compared to the rabbit polyclonal polyclonal (cat. no. 173 002).

Data sheet Datasheet 173_211

References for GFAP - 173 211

Neurons undergo pathogenic metabolic reprogramming in models of familial ALS.
Riechers SP, Mojsilovic-Petrovic J, Belton TB, Chakrabarty RP, Garjani M, Medvedeva V, Dalton C, Wong YC, Chandel NS, Dienel G, Kalb RG, et al.
Molecular metabolism (2022) 60: 101468. 173 211 WB; tested species: rat
Visual System Impairment in a Mouse Model of Krabbe Disease: The Twitcher Mouse.
Tonazzini I, Cerri C, Del Grosso A, Antonini S, Allegra M, Caleo M, Cecchini M
Biomolecules (2020) 111: . 173 211 WB; tested species: mouse
Marked differences in the effects of levetiracetam and its analogue brivaracetam on microglial, astrocytic, and neuronal density in the rat model of kainic acid-induced temporal lobe epilepsy.
Kelemen K, Sárosi M, Csüdör Á, Orbán-Kis K, Kelemen H, Bába L, Gáll Z, Horváth E, Katona I, Szilágyi T
Frontiers in pharmacology (2025) 16: 1553545. 173 211 IHC; tested species: rat
Anticonvulsant Action and Long-Term Effects of Chronic Cannabidiol Treatment in the Rat Pentylenetetrazole-Kindling Model of Epilepsy.
Gáll Z, Kelemen K, Tolokán A, Zolcseak I, Sável I, Bod R, Ferencz E, Vancea S, Urkon M, Kolcsár M
Biomedicines (2022) 108: . 173 211 IHC; tested species: mouse
Pum2 and TDP-43 refine area-specific cytoarchitecture post-mitotically and modulate translation of Sox5, Bcl11b, and Rorb mRNAs in developing mouse neocortex.
Harb K, Richter M, Neelagandan N, Magrinelli E, Harfoush H, Kuechler K, Henis M, Hermanns-Borgmeyer I, Calderon de Anda F, Duncan K
eLife (2022) 11: . 173 211 IHC; tested species: mouse
A DNA-based nano-immunoassay for the label-free detection of glial fibrillary acidic protein in multicell lysates.
Ganau M, Bosco A, Palma A, Corvaglia S, Parisse P, Fruk L, Beltrami AP, Cesselli D, Casalis L, Scoles G
Nanomedicine : nanotechnology, biology, and medicine (2015) 112: 293-300. 173 211 ELISA
Cat. No.: 173 211
Amount: 100 µg
Price: $420.00
Neurons undergo pathogenic metabolic reprogramming in models of familial ALS.
Riechers SP, Mojsilovic-Petrovic J, Belton TB, Chakrabarty RP, Garjani M, Medvedeva V, Dalton C, Wong YC, Chandel NS, Dienel G, Kalb RG, et al.
Molecular metabolism (2022) 60: 101468. 173 211 WB; tested species: rat
Visual System Impairment in a Mouse Model of Krabbe Disease: The Twitcher Mouse.
Tonazzini I, Cerri C, Del Grosso A, Antonini S, Allegra M, Caleo M, Cecchini M
Biomolecules (2020) 111: . 173 211 WB; tested species: mouse
Marked differences in the effects of levetiracetam and its analogue brivaracetam on microglial, astrocytic, and neuronal density in the rat model of kainic acid-induced temporal lobe epilepsy.
Kelemen K, Sárosi M, Csüdör Á, Orbán-Kis K, Kelemen H, Bába L, Gáll Z, Horváth E, Katona I, Szilágyi T
Frontiers in pharmacology (2025) 16: 1553545. 173 211 IHC; tested species: rat
Anticonvulsant Action and Long-Term Effects of Chronic Cannabidiol Treatment in the Rat Pentylenetetrazole-Kindling Model of Epilepsy.
Gáll Z, Kelemen K, Tolokán A, Zolcseak I, Sável I, Bod R, Ferencz E, Vancea S, Urkon M, Kolcsár M
Biomedicines (2022) 108: . 173 211 IHC; tested species: mouse
Pum2 and TDP-43 refine area-specific cytoarchitecture post-mitotically and modulate translation of Sox5, Bcl11b, and Rorb mRNAs in developing mouse neocortex.
Harb K, Richter M, Neelagandan N, Magrinelli E, Harfoush H, Kuechler K, Henis M, Hermanns-Borgmeyer I, Calderon de Anda F, Duncan K
eLife (2022) 11: . 173 211 IHC; tested species: mouse
A DNA-based nano-immunoassay for the label-free detection of glial fibrillary acidic protein in multicell lysates.
Ganau M, Bosco A, Palma A, Corvaglia S, Parisse P, Fruk L, Beltrami AP, Cesselli D, Casalis L, Scoles G
Nanomedicine : nanotechnology, biology, and medicine (2015) 112: 293-300. 173 211 ELISA
Background

Glial fibrillary acidic protein GFAP is a glial-specific member of the intermediate filament protein family. This group comprises cell type-specific filamentous proteins with similar structure and function as scaffold for cytoskeleton assembly and maintenance.
Frequently, neural stem cells also express GFAP. In addition many types of brain tumors, probably derived from astrocytic cells, heavily express GFAP. This protein is also found in the lens epithelium, Kupffer cells of the liver, in some cells in salivary tumors and others.
Point-mutations in the GFAP gene have been correlated to Alexander disease, a fatal leukoencephalopathy that leads to the dysmyelination or demyelination of the central nervous system.

 

For more information on protein expression pattern, please refer to the overview image in our SYSY Antibodies ATLAS.

Certificates

ISO 9001 2015 Quality Management System and Green Lab Platinum certification level for sustaining laboratory processes.

Newsletter

Sign up for our newsletter and get the latest updates and news.
 

Please provide a valid E-Mail-Address
Please provide a valid First name
Please provide a valid Last name