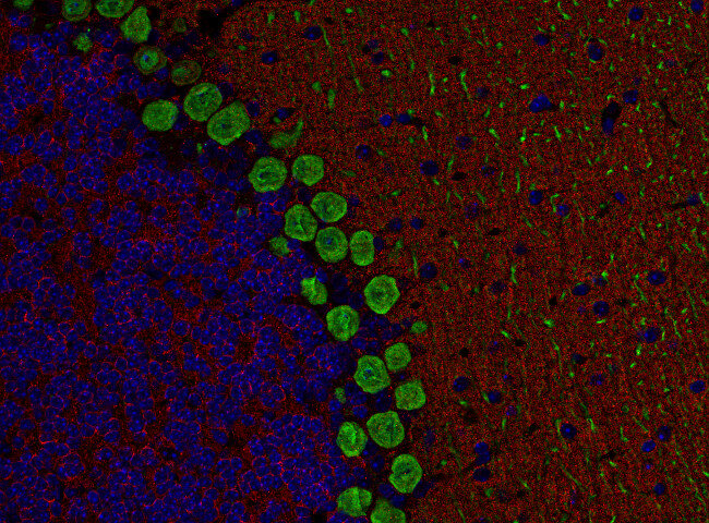
RIM1 antibody PDZ domain - 140 003 K.O.

RIMs are Rab3 effector proteins of the cytomatrix at the active zone
Rabbit polyclonal purified antibody
Cat. No.: 140 003
Amount: 50 µg
Price: $385.00
Cat. No. 140 003 50 µg specific antibody, lyophilized. Affinity purified with the immunogen. Albumin and azide were added for stabilization. For reconstitution add 50 µl H2O to get a 1mg/ml solution in PBS. Then aliquot and store at -20°C to -80°C until use.
Antibodies should be stored at +4°C when still lyophilized. Do not freeze!
Applications
 
WB: 1 : 100 up to 1 : 1000 (AP staining) gallery  
IP: not tested yet
ICC: 1 : 200 up to 1 : 500 gallery  
IHC: external data (see remarks)
IHC-P (FFPE): 1 : 500 gallery  

Western blot (WB); separation of proteins by PAGE and subsequent transfer to a membrane. Detection of target molecules is carried out with antibodies. Some antibodies require special sample preparation steps. For details, please refer to the “Remarks” section.

Immunoprecipitation (IP); Immunoisolation or pulldown of a target molecule using an antibody. For details and product specific hints, please refer to the ”Remarks” section.

Immunocytochemistry (ICC) on 4% PFA fixed cells. Immunoreactivity is usually revealed by fluorescence. Some antibodies require special fixation methods. For details, please refer to the “Remarks” section.

Immunohistochemistry (IHC) on 4% PFA perfusion fixed tissue with 24h PFA post fixation. Immunoreactivity is usually revealed by fluorescence or a chromogenic substrate. Some antibodies require special fixation methods or antigen retrieval steps. For details, please refer to the ”Remarks” section.

Immunohistochemistry (IHC-P) of formalin fixed, paraffin embedded (FFPE) tissue (some antibodies require special antigen retrieval steps, please refer to the ”Remarks” section). Immunoreactivity is usually revealed by fluorescence or a chromogenic substrate.

Immunogen Recombinant protein corresponding to the PDZ domain of rat RIM1 (UniProt Id: Q9JIR4)
Reactivity Reacts with: human (Q86UR5), rat (Q9JIR4), mouse (Q99NE5), hamster, chicken, frog.
Other species not tested yet.
Specificity Specific for RIM 1 with weak cross reactivity to RIM 2. K.O. validated PubMed: 32521280
Remarks

IHC: This antibody has been successfully applied and published for this method by customers (see application-specific references). It has not been validated using our standard protocols.

Data sheet Datasheet 140_003

References for RIM1 - 140 003

Endogenous SNAP-Tagging of Munc13‑1 for Monitoring Synapse Nanoarchitecture.
Kowald M, Bachollet SPJT, Benseler F, Steinecker M, Boll M, Kaushik S, Soykan T, Sun S, Birke R, Ilic D, Brose N, et al.
JACS Au (2025) 56: 2475-2490. 140 003 WB; tested species: mouse
Expression of synaptic proteins and development of dendritic spines in fetal and postnatal neocortex of the pig, the European wild boar Sus scrofa.
Sobierajski E, Czubay K, Schmidt MR, Wiedenski S, Rettschlag S, Beemelmans C, Beemelmans C, Wahle P
Brain structure & function (2025) 2302: 38. 140 003 WB; tested species: pig
Functional specificity of liquid-liquid phase separation at the synapse.
Guzikowski NJ, Kavalali ET
Nature communications (2024) 151: 10103. 140 003 WB; tested species: rat
Liprin-α proteins are master regulators of human presynapse assembly.
Marcó de la Cruz B, Campos J, Molinaro A, Xie X, Jin G, Wei Z, Acuna C, Sterky FH
Nature neuroscience (2024) : . 140 003 WB; tested species: human
Targeted BACE-1 inhibition in microglia enhances amyloid clearance and improved cognitive performance.
Singh N, Das B, Zhou J, Hu X, Yan R
Science advances (2022) 829: eabo3610. 140 003 WB; tested species: mouse
Glutamatergic synapses from the insular cortex to the basolateral amygdala encode observational pain.
Zhang MM, Geng AQ, Chen K, Wang J, Wang P, Qiu XT, Gu JX, Fan HW, Zhu DY, Yang SM, Chen QY, et al.
Neuron (2022) 11012: 1993-2008.e6. 140 003 WB; tested species: mouse
An active vesicle priming machinery suppresses axon regeneration upon adult CNS injury.
Hilton BJ, Husch A, Schaffran B, Lin TC, Burnside ER, Dupraz S, Schelski M, Kim J, Müller JA, Schoch S, Imig C, et al.
Neuron (2021) : . 140 003 WB; KO verified; tested species: mouse
Actions of Rab27B-GTPase on mammalian central excitatory synaptic transmission.
Arias-Hervert ER, Xu N, Njus M, Murphy GG, Hou Y, Williams JA, Lentz SI, Ernst SA, Stuenkel EL
Physiological reports (2020) 89: e14428. 140 003 WB; tested species: mouse
ELKS1 Captures Rab6-Marked Vesicular Cargo in Presynaptic Nerve Terminals.
Nyitrai H, Wang SSH, Kaeser PS
Cell reports (2020) 3110: 107712. 140 003 WB, ICC; KO verified; tested species: mouse
Elevated synaptic vesicle release probability in synaptophysin/gyrin family quadruple knockouts.
Raja MK, Preobraschenski J, Del Olmo-Cabrera S, Martinez-Turrillas R, Jahn R, Perez-Otano I, Wesseling JF
eLife (2019) 8: . 140 003 WB; tested species: mouse
Canonical Wnt Signaling Modulates the Expression of Pre- and Postsynaptic Components in Different Temporal Patterns.
Martinez M, Torres VI, Vio CP, Inestrosa NC
Molecular neurobiology (2019) : . 140 003 WB; tested species: rat
Analysis of RIM Expression and Function at Mouse Photoreceptor Ribbon Synapses.
Löhner M, Babai N, Müller T, Gierke K, Atorf J, Joachimsthaler A, Peukert A, Martens H, Feigenspan A, Kremers J, Schoch S, et al.
The Journal of neuroscience : the official journal of the Society for Neuroscience (2017) 3733: 7848-7863. 140 003 WB, IHC; tested species: mouse
Analysis of SUMO1-conjugation at synapses.
Daniel JA, Cooper BH, Palvimo JJ, Zhang FP, Brose N, Tirard M
eLife (2017) 6: . 140 003 WB; tested species: mouse
Dynamic Partitioning of Synaptic Vesicle Pools by the SNARE-Binding Protein Tomosyn.
Cazares VA, Njus MM, Manly A, Saldate JJ, Subramani A, Ben-Simon Y, Sutton MA, Ashery U, Stuenkel EL
The Journal of neuroscience : the official journal of the Society for Neuroscience (2016) 3644: 11208-11222. 140 003 WB; tested species: rat
RIM1/2-Mediated Facilitation of Cav1.4 Channel Opening Is Required for Ca2+-Stimulated Release in Mouse Rod Photoreceptors.
Grabner CP, Gandini MA, Rehak R, Le Y, Zamponi GW, Schmitz F
The Journal of neuroscience : the official journal of the Society for Neuroscience (2015) 3538: 13133-47. 140 003 WB, IHC
Epac2 Mediates cAMP-Dependent Potentiation of Neurotransmission in the Hippocampus.
Fernandes HB, Riordan S, Nomura T, Remmers CL, Kraniotis S, Marshall JJ, Kukreja L, Vassar R, Contractor A
The Journal of neuroscience : the official journal of the Society for Neuroscience (2015) 3516: 6544-53. 140 003 WB
Active zone protein expression changes at the key stages of cerebellar cortex neurogenesis in the rat.
Juranek JK, Mukherjee K, Siddiqui TJ, Kaplan BJ, Li JY, Ahnert-Hilger G, Jahn R, Calka J
Acta histochemica (2013) 1156: 616-25. 140 003 WB, ICC, IHC
RIM, Munc13, and Rab3A interplay in acrosomal exocytosis.
Bello OD, Zanetti MN, Mayorga LS, Michaut MA
Experimental cell research (2012) 3185: 478-88. 140 003 WB, ICC
Molecular in situ topology of Aczonin/Piccolo and associated proteins at the mammalian neurotransmitter release site.
Limbach C, Laue MM, Wang X, Hu B, Thiede N, Hultqvist G, Kilimann MW
Proceedings of the National Academy of Sciences of the United States of America (2011) 10831: E392-401. 140 003 WB
Rab3a interacting molecule (RIM) and the tethering of pre-synaptic transmitter release site-associated CaV2.2 calcium channels.
Wong FK, Stanley EF
Journal of neurochemistry (2010) 1122: 463-73. 140 003 WB, IP; tested species: chicken
Impaired synapse function during postnatal development in the absence of CALEB, an EGF-like protein processed by neuronal activity.
Jüttner R, Moré MI, Das D, Babich A, Meier J, Henning M, Erdmann B, Mu Ller EC, Otto A, Grantyn R, Rathjen FG, et al.
Neuron (2005) 462: 233-45. 140 003 WB
Rab3a interacting molecule (RIM) and the tethering of pre-synaptic transmitter release site-associated CaV2.2 calcium channels.
Wong FK, Stanley EF
Journal of neurochemistry (2010) 1122: 463-73. 140 003 WB, IP; tested species: chicken
Protocol for single-molecule analysis of synaptic protein complex-mediated vesicle recruitment.
Kapadia A, Hafner AS
STAR protocols (2025) 64: 104249. 140 003 ICC; tested species: rat
Modulating synaptic glutamate receptors by targeting network nodes of the postsynaptic density condensate.
Jia B, Zhu S, Shen Z, Chen X, Li H, Zhao S, Cai Q, Wang Y, Wang Z, Nicoll RA, Lu Y, et al.
Molecular cell (2025) 8516: 3166-3183.e10. 140 003 ICC; tested species: rat
Molecular definition of distinct active zone protein machineries for Ca2+ channel clustering and synaptic vesicle priming.
Emperador-Melero J, Andersen JW, Metzbower SR, Levy AD, Dharmasri PA, de Nola G, Blanpied TA, Kaeser PS
bioRxiv : the preprint server for biology (2023) : . 140 003 ICC; tested species: mouse
Acute reorganization of postsynaptic GABAA receptors reveals the functional impact of molecular nanoarchitecture at inhibitory synapses.
Olah SS, Kareemo DJ, Buchta WC, Sinnen BL, Miller CN, Actor-Engel HS, Gookin SE, Winborn CS, Kleinjan MS, Crosby KC, Aoto J, et al.
Cell reports (2023) 4211: 113331. 140 003 ICC; tested species: rat
AMPA and GABAA receptor nanodomains assemble in the absence of synaptic neurotransmitter release.
Ramsay HJ, Gookin SE, Ramsey AM, Kareemo DJ, Crosby KC, Stich DG, Olah SS, Actor-Engel HS, Smith KR, Kennedy MJ
Frontiers in molecular neuroscience (2023) 16: 1232795. 140 003 ICC; tested species: rat
Neurexin-3 subsynaptic densities are spatially distinct from Neurexin-1 and essential for excitatory synapse nanoscale organization in the hippocampus.
Lloyd BA, Han Y, Roth R, Zhang B, Aoto J
Nature communications (2023) 141: 4706. 140 003 ICC; tested species: mouse
Rebuilding essential active zone functions within a synapse.
Tan C, Wang SSH, de Nola G, Kaeser PS
Neuron (2022) 1109: 1498-1515.e8. 140 003 ICC; KO verified; tested species: mouse
Munc13 supports fusogenicity of non-docked vesicles at synapses with disrupted active zones.
Tan C, de Nola G, Qiao C, Imig C, Born RT, Brose N, Kaeser PS
eLife (2022) 11: . 140 003 ICC; KO verified; tested species: mouse
A presynaptic phosphosignaling hub for lasting homeostatic plasticity.
Müller JA, Betzin J, Santos-Tejedor J, Mayer A, Oprişoreanu AM, Engholm-Keller K, Paulußen I, Gulakova P, McGovern TD, Gschossman LJ, Schönhense E, et al.
Cell reports (2022) 393: 110696. 140 003 ICC; tested species: mouse
Stepwise disassembly of GABAergic synapses during pathogenic excitotoxicity.
Garcia JD, Gookin SE, Crosby KC, Schwartz SL, Tiemeier E, Kennedy MJ, Dell'Acqua ML, Herson PS, Quillinan N, Smith KR
Cell reports (2021) 3712: 110142. 140 003 ICC; tested species: rat
PKC-phosphorylation of Liprin-α3 triggers phase separation and controls presynaptic active zone structure.
Emperador-Melero J, Wong MY, Wang SSH, de Nola G, Nyitrai H, Kirchhausen T, Kaeser PS
Nature communications (2021) 121: 3057. 140 003 ICC; tested species: mouse
Phospholipid-flippase chaperone CDC50A is required for synapse maintenance by regulating phosphatidylserine exposure.
Li T, Yu D, Oak HC, Zhu B, Wang L, Jiang X, Molday RS, Kriegstein A, Piao X
The EMBO journal (2021) 4021: e107915. 140 003 ICC; tested species: mouse
Intact synapse structure and function after combined knockout of PTPδ, PTPσ, and LAR.
Emperador-Melero J, de Nola G, Kaeser PS
eLife (2021) 10: . 140 003 ICC; tested species: mouse
Synapse and Active Zone Assembly in the Absence of Presynaptic Ca2+ Channels and Ca2+ Entry.
Held RG, Liu C, Ma K, Ramsey AM, Tarr TB, De Nola G, Wang SSH, Wang J, van den Maagdenberg AMJM, Schneider T, Sun J, et al.
Neuron (2020) 1074: 667-683.e9. 140 003 ICC; tested species: mouse
ELKS1 Captures Rab6-Marked Vesicular Cargo in Presynaptic Nerve Terminals.
Nyitrai H, Wang SSH, Kaeser PS
Cell reports (2020) 3110: 107712. 140 003 WB, ICC; KO verified; tested species: mouse
RIM C2B Domains Target Presynaptic Active Zone Functions to PIP2-Containing Membranes.
de Jong APH, Roggero CM, Ho MR, Wong MY, Brautigam CA, Rizo J, Kaeser PS
Neuron (2018) 982: 335-349.e7. 140 003 ICC; tested species: mouse
Regulation of density of functional presynaptic terminals by local energy supply.
Zhou H, Liu G
Molecular brain (2015) 8: 42. 140 003 ICC; tested species: rat
Composition of isolated synaptic boutons reveals the amounts of vesicle trafficking proteins.
Wilhelm BG, Mandad S, Truckenbrodt S, Kröhnert K, Schäfer C, Rammner B, Koo SJ, Claßen GA, Krauss M, Haucke V, Urlaub H, et al.
Science (New York, N.Y.) (2014) 3446187: 1023-8. 140 003 ICC, IHC; tested species: mouse,rat
Cannabinoid type 1 receptors transiently silence glutamatergic nerve terminals of cultured cerebellar granule cells.
Ramírez-Franco J, Bartolomé-Martín D, Alonso B, Torres M, Sánchez-Prieto J
PloS one (2014) 92: e88594. 140 003 ICC; tested species: rat
Active zone protein expression changes at the key stages of cerebellar cortex neurogenesis in the rat.
Juranek JK, Mukherjee K, Siddiqui TJ, Kaplan BJ, Li JY, Ahnert-Hilger G, Jahn R, Calka J
Acta histochemica (2013) 1156: 616-25. 140 003 WB, ICC, IHC
Studying synaptic efficiency by post-hoc immunolabelling.
Ramírez-Franco J, Alonso B, Bartolomé-Martín D, Sánchez-Prieto J, Torres M
BMC neuroscience (2013) 14: 127. 140 003 ICC
RIM, Munc13, and Rab3A interplay in acrosomal exocytosis.
Bello OD, Zanetti MN, Mayorga LS, Michaut MA
Experimental cell research (2012) 3185: 478-88. 140 003 WB, ICC
Piccolo modulation of Synapsin1a dynamics regulates synaptic vesicle exocytosis.
Leal-Ortiz S, Waites CL, Terry-Lorenzo R, Zamorano P, Gundelfinger ED, Garner CC
The Journal of cell biology (2008) 1815: 831-46. 140 003 ICC
Binding to Rab3A-interacting molecule RIM regulates the presynaptic recruitment of Munc13-1 and ubMunc13-2.
Andrews-Zwilling YS, Kawabe H, Reim K, Varoqueaux F, Brose N
The Journal of biological chemistry (2006) 28128: 19720-31. 140 003 ICC; tested species: mouse
Analysis of RIM Expression and Function at Mouse Photoreceptor Ribbon Synapses.
Löhner M, Babai N, Müller T, Gierke K, Atorf J, Joachimsthaler A, Peukert A, Martens H, Feigenspan A, Kremers J, Schoch S, et al.
The Journal of neuroscience : the official journal of the Society for Neuroscience (2017) 3733: 7848-7863. 140 003 WB, IHC; tested species: mouse
RIM1/2-Mediated Facilitation of Cav1.4 Channel Opening Is Required for Ca2+-Stimulated Release in Mouse Rod Photoreceptors.
Grabner CP, Gandini MA, Rehak R, Le Y, Zamponi GW, Schmitz F
The Journal of neuroscience : the official journal of the Society for Neuroscience (2015) 3538: 13133-47. 140 003 WB, IHC
Composition of isolated synaptic boutons reveals the amounts of vesicle trafficking proteins.
Wilhelm BG, Mandad S, Truckenbrodt S, Kröhnert K, Schäfer C, Rammner B, Koo SJ, Claßen GA, Krauss M, Haucke V, Urlaub H, et al.
Science (New York, N.Y.) (2014) 3446187: 1023-8. 140 003 ICC, IHC; tested species: mouse,rat
Active zone protein expression changes at the key stages of cerebellar cortex neurogenesis in the rat.
Juranek JK, Mukherjee K, Siddiqui TJ, Kaplan BJ, Li JY, Ahnert-Hilger G, Jahn R, Calka J
Acta histochemica (2013) 1156: 616-25. 140 003 WB, ICC, IHC
Early steps in the assembly of photoreceptor ribbon synapses in the mouse retina: the involvement of precursor spheres.
Regus-Leidig H, Tom Dieck S, Specht D, Meyer L, Brandstätter JH
The Journal of comparative neurology (2009) 5126: 814-24. 140 003 IHC
Cat. No.: 140 003
Amount: 50 µg
Price: $385.00
Endogenous SNAP-Tagging of Munc13‑1 for Monitoring Synapse Nanoarchitecture.
Kowald M, Bachollet SPJT, Benseler F, Steinecker M, Boll M, Kaushik S, Soykan T, Sun S, Birke R, Ilic D, Brose N, et al.
JACS Au (2025) 56: 2475-2490. 140 003 WB; tested species: mouse
Expression of synaptic proteins and development of dendritic spines in fetal and postnatal neocortex of the pig, the European wild boar Sus scrofa.
Sobierajski E, Czubay K, Schmidt MR, Wiedenski S, Rettschlag S, Beemelmans C, Beemelmans C, Wahle P
Brain structure & function (2025) 2302: 38. 140 003 WB; tested species: pig
Functional specificity of liquid-liquid phase separation at the synapse.
Guzikowski NJ, Kavalali ET
Nature communications (2024) 151: 10103. 140 003 WB; tested species: rat
Liprin-α proteins are master regulators of human presynapse assembly.
Marcó de la Cruz B, Campos J, Molinaro A, Xie X, Jin G, Wei Z, Acuna C, Sterky FH
Nature neuroscience (2024) : . 140 003 WB; tested species: human
Targeted BACE-1 inhibition in microglia enhances amyloid clearance and improved cognitive performance.
Singh N, Das B, Zhou J, Hu X, Yan R
Science advances (2022) 829: eabo3610. 140 003 WB; tested species: mouse
Glutamatergic synapses from the insular cortex to the basolateral amygdala encode observational pain.
Zhang MM, Geng AQ, Chen K, Wang J, Wang P, Qiu XT, Gu JX, Fan HW, Zhu DY, Yang SM, Chen QY, et al.
Neuron (2022) 11012: 1993-2008.e6. 140 003 WB; tested species: mouse
An active vesicle priming machinery suppresses axon regeneration upon adult CNS injury.
Hilton BJ, Husch A, Schaffran B, Lin TC, Burnside ER, Dupraz S, Schelski M, Kim J, Müller JA, Schoch S, Imig C, et al.
Neuron (2021) : . 140 003 WB; KO verified; tested species: mouse
Actions of Rab27B-GTPase on mammalian central excitatory synaptic transmission.
Arias-Hervert ER, Xu N, Njus M, Murphy GG, Hou Y, Williams JA, Lentz SI, Ernst SA, Stuenkel EL
Physiological reports (2020) 89: e14428. 140 003 WB; tested species: mouse
ELKS1 Captures Rab6-Marked Vesicular Cargo in Presynaptic Nerve Terminals.
Nyitrai H, Wang SSH, Kaeser PS
Cell reports (2020) 3110: 107712. 140 003 WB, ICC; KO verified; tested species: mouse
Elevated synaptic vesicle release probability in synaptophysin/gyrin family quadruple knockouts.
Raja MK, Preobraschenski J, Del Olmo-Cabrera S, Martinez-Turrillas R, Jahn R, Perez-Otano I, Wesseling JF
eLife (2019) 8: . 140 003 WB; tested species: mouse
Canonical Wnt Signaling Modulates the Expression of Pre- and Postsynaptic Components in Different Temporal Patterns.
Martinez M, Torres VI, Vio CP, Inestrosa NC
Molecular neurobiology (2019) : . 140 003 WB; tested species: rat
Analysis of RIM Expression and Function at Mouse Photoreceptor Ribbon Synapses.
Löhner M, Babai N, Müller T, Gierke K, Atorf J, Joachimsthaler A, Peukert A, Martens H, Feigenspan A, Kremers J, Schoch S, et al.
The Journal of neuroscience : the official journal of the Society for Neuroscience (2017) 3733: 7848-7863. 140 003 WB, IHC; tested species: mouse
Analysis of SUMO1-conjugation at synapses.
Daniel JA, Cooper BH, Palvimo JJ, Zhang FP, Brose N, Tirard M
eLife (2017) 6: . 140 003 WB; tested species: mouse
Dynamic Partitioning of Synaptic Vesicle Pools by the SNARE-Binding Protein Tomosyn.
Cazares VA, Njus MM, Manly A, Saldate JJ, Subramani A, Ben-Simon Y, Sutton MA, Ashery U, Stuenkel EL
The Journal of neuroscience : the official journal of the Society for Neuroscience (2016) 3644: 11208-11222. 140 003 WB; tested species: rat
RIM1/2-Mediated Facilitation of Cav1.4 Channel Opening Is Required for Ca2+-Stimulated Release in Mouse Rod Photoreceptors.
Grabner CP, Gandini MA, Rehak R, Le Y, Zamponi GW, Schmitz F
The Journal of neuroscience : the official journal of the Society for Neuroscience (2015) 3538: 13133-47. 140 003 WB, IHC
Epac2 Mediates cAMP-Dependent Potentiation of Neurotransmission in the Hippocampus.
Fernandes HB, Riordan S, Nomura T, Remmers CL, Kraniotis S, Marshall JJ, Kukreja L, Vassar R, Contractor A
The Journal of neuroscience : the official journal of the Society for Neuroscience (2015) 3516: 6544-53. 140 003 WB
Active zone protein expression changes at the key stages of cerebellar cortex neurogenesis in the rat.
Juranek JK, Mukherjee K, Siddiqui TJ, Kaplan BJ, Li JY, Ahnert-Hilger G, Jahn R, Calka J
Acta histochemica (2013) 1156: 616-25. 140 003 WB, ICC, IHC
RIM, Munc13, and Rab3A interplay in acrosomal exocytosis.
Bello OD, Zanetti MN, Mayorga LS, Michaut MA
Experimental cell research (2012) 3185: 478-88. 140 003 WB, ICC
Molecular in situ topology of Aczonin/Piccolo and associated proteins at the mammalian neurotransmitter release site.
Limbach C, Laue MM, Wang X, Hu B, Thiede N, Hultqvist G, Kilimann MW
Proceedings of the National Academy of Sciences of the United States of America (2011) 10831: E392-401. 140 003 WB
Rab3a interacting molecule (RIM) and the tethering of pre-synaptic transmitter release site-associated CaV2.2 calcium channels.
Wong FK, Stanley EF
Journal of neurochemistry (2010) 1122: 463-73. 140 003 WB, IP; tested species: chicken
Impaired synapse function during postnatal development in the absence of CALEB, an EGF-like protein processed by neuronal activity.
Jüttner R, Moré MI, Das D, Babich A, Meier J, Henning M, Erdmann B, Mu Ller EC, Otto A, Grantyn R, Rathjen FG, et al.
Neuron (2005) 462: 233-45. 140 003 WB
Rab3a interacting molecule (RIM) and the tethering of pre-synaptic transmitter release site-associated CaV2.2 calcium channels.
Wong FK, Stanley EF
Journal of neurochemistry (2010) 1122: 463-73. 140 003 WB, IP; tested species: chicken
Protocol for single-molecule analysis of synaptic protein complex-mediated vesicle recruitment.
Kapadia A, Hafner AS
STAR protocols (2025) 64: 104249. 140 003 ICC; tested species: rat
Modulating synaptic glutamate receptors by targeting network nodes of the postsynaptic density condensate.
Jia B, Zhu S, Shen Z, Chen X, Li H, Zhao S, Cai Q, Wang Y, Wang Z, Nicoll RA, Lu Y, et al.
Molecular cell (2025) 8516: 3166-3183.e10. 140 003 ICC; tested species: rat
Molecular definition of distinct active zone protein machineries for Ca2+ channel clustering and synaptic vesicle priming.
Emperador-Melero J, Andersen JW, Metzbower SR, Levy AD, Dharmasri PA, de Nola G, Blanpied TA, Kaeser PS
bioRxiv : the preprint server for biology (2023) : . 140 003 ICC; tested species: mouse
Acute reorganization of postsynaptic GABAA receptors reveals the functional impact of molecular nanoarchitecture at inhibitory synapses.
Olah SS, Kareemo DJ, Buchta WC, Sinnen BL, Miller CN, Actor-Engel HS, Gookin SE, Winborn CS, Kleinjan MS, Crosby KC, Aoto J, et al.
Cell reports (2023) 4211: 113331. 140 003 ICC; tested species: rat
AMPA and GABAA receptor nanodomains assemble in the absence of synaptic neurotransmitter release.
Ramsay HJ, Gookin SE, Ramsey AM, Kareemo DJ, Crosby KC, Stich DG, Olah SS, Actor-Engel HS, Smith KR, Kennedy MJ
Frontiers in molecular neuroscience (2023) 16: 1232795. 140 003 ICC; tested species: rat
Neurexin-3 subsynaptic densities are spatially distinct from Neurexin-1 and essential for excitatory synapse nanoscale organization in the hippocampus.
Lloyd BA, Han Y, Roth R, Zhang B, Aoto J
Nature communications (2023) 141: 4706. 140 003 ICC; tested species: mouse
Rebuilding essential active zone functions within a synapse.
Tan C, Wang SSH, de Nola G, Kaeser PS
Neuron (2022) 1109: 1498-1515.e8. 140 003 ICC; KO verified; tested species: mouse
Munc13 supports fusogenicity of non-docked vesicles at synapses with disrupted active zones.
Tan C, de Nola G, Qiao C, Imig C, Born RT, Brose N, Kaeser PS
eLife (2022) 11: . 140 003 ICC; KO verified; tested species: mouse
A presynaptic phosphosignaling hub for lasting homeostatic plasticity.
Müller JA, Betzin J, Santos-Tejedor J, Mayer A, Oprişoreanu AM, Engholm-Keller K, Paulußen I, Gulakova P, McGovern TD, Gschossman LJ, Schönhense E, et al.
Cell reports (2022) 393: 110696. 140 003 ICC; tested species: mouse
Stepwise disassembly of GABAergic synapses during pathogenic excitotoxicity.
Garcia JD, Gookin SE, Crosby KC, Schwartz SL, Tiemeier E, Kennedy MJ, Dell'Acqua ML, Herson PS, Quillinan N, Smith KR
Cell reports (2021) 3712: 110142. 140 003 ICC; tested species: rat
PKC-phosphorylation of Liprin-α3 triggers phase separation and controls presynaptic active zone structure.
Emperador-Melero J, Wong MY, Wang SSH, de Nola G, Nyitrai H, Kirchhausen T, Kaeser PS
Nature communications (2021) 121: 3057. 140 003 ICC; tested species: mouse
Phospholipid-flippase chaperone CDC50A is required for synapse maintenance by regulating phosphatidylserine exposure.
Li T, Yu D, Oak HC, Zhu B, Wang L, Jiang X, Molday RS, Kriegstein A, Piao X
The EMBO journal (2021) 4021: e107915. 140 003 ICC; tested species: mouse
Intact synapse structure and function after combined knockout of PTPδ, PTPσ, and LAR.
Emperador-Melero J, de Nola G, Kaeser PS
eLife (2021) 10: . 140 003 ICC; tested species: mouse
Synapse and Active Zone Assembly in the Absence of Presynaptic Ca2+ Channels and Ca2+ Entry.
Held RG, Liu C, Ma K, Ramsey AM, Tarr TB, De Nola G, Wang SSH, Wang J, van den Maagdenberg AMJM, Schneider T, Sun J, et al.
Neuron (2020) 1074: 667-683.e9. 140 003 ICC; tested species: mouse
ELKS1 Captures Rab6-Marked Vesicular Cargo in Presynaptic Nerve Terminals.
Nyitrai H, Wang SSH, Kaeser PS
Cell reports (2020) 3110: 107712. 140 003 WB, ICC; KO verified; tested species: mouse
RIM C2B Domains Target Presynaptic Active Zone Functions to PIP2-Containing Membranes.
de Jong APH, Roggero CM, Ho MR, Wong MY, Brautigam CA, Rizo J, Kaeser PS
Neuron (2018) 982: 335-349.e7. 140 003 ICC; tested species: mouse
Regulation of density of functional presynaptic terminals by local energy supply.
Zhou H, Liu G
Molecular brain (2015) 8: 42. 140 003 ICC; tested species: rat
Composition of isolated synaptic boutons reveals the amounts of vesicle trafficking proteins.
Wilhelm BG, Mandad S, Truckenbrodt S, Kröhnert K, Schäfer C, Rammner B, Koo SJ, Claßen GA, Krauss M, Haucke V, Urlaub H, et al.
Science (New York, N.Y.) (2014) 3446187: 1023-8. 140 003 ICC, IHC; tested species: mouse,rat
Cannabinoid type 1 receptors transiently silence glutamatergic nerve terminals of cultured cerebellar granule cells.
Ramírez-Franco J, Bartolomé-Martín D, Alonso B, Torres M, Sánchez-Prieto J
PloS one (2014) 92: e88594. 140 003 ICC; tested species: rat
Active zone protein expression changes at the key stages of cerebellar cortex neurogenesis in the rat.
Juranek JK, Mukherjee K, Siddiqui TJ, Kaplan BJ, Li JY, Ahnert-Hilger G, Jahn R, Calka J
Acta histochemica (2013) 1156: 616-25. 140 003 WB, ICC, IHC
Studying synaptic efficiency by post-hoc immunolabelling.
Ramírez-Franco J, Alonso B, Bartolomé-Martín D, Sánchez-Prieto J, Torres M
BMC neuroscience (2013) 14: 127. 140 003 ICC
RIM, Munc13, and Rab3A interplay in acrosomal exocytosis.
Bello OD, Zanetti MN, Mayorga LS, Michaut MA
Experimental cell research (2012) 3185: 478-88. 140 003 WB, ICC
Piccolo modulation of Synapsin1a dynamics regulates synaptic vesicle exocytosis.
Leal-Ortiz S, Waites CL, Terry-Lorenzo R, Zamorano P, Gundelfinger ED, Garner CC
The Journal of cell biology (2008) 1815: 831-46. 140 003 ICC
Binding to Rab3A-interacting molecule RIM regulates the presynaptic recruitment of Munc13-1 and ubMunc13-2.
Andrews-Zwilling YS, Kawabe H, Reim K, Varoqueaux F, Brose N
The Journal of biological chemistry (2006) 28128: 19720-31. 140 003 ICC; tested species: mouse
Analysis of RIM Expression and Function at Mouse Photoreceptor Ribbon Synapses.
Löhner M, Babai N, Müller T, Gierke K, Atorf J, Joachimsthaler A, Peukert A, Martens H, Feigenspan A, Kremers J, Schoch S, et al.
The Journal of neuroscience : the official journal of the Society for Neuroscience (2017) 3733: 7848-7863. 140 003 WB, IHC; tested species: mouse
RIM1/2-Mediated Facilitation of Cav1.4 Channel Opening Is Required for Ca2+-Stimulated Release in Mouse Rod Photoreceptors.
Grabner CP, Gandini MA, Rehak R, Le Y, Zamponi GW, Schmitz F
The Journal of neuroscience : the official journal of the Society for Neuroscience (2015) 3538: 13133-47. 140 003 WB, IHC
Composition of isolated synaptic boutons reveals the amounts of vesicle trafficking proteins.
Wilhelm BG, Mandad S, Truckenbrodt S, Kröhnert K, Schäfer C, Rammner B, Koo SJ, Claßen GA, Krauss M, Haucke V, Urlaub H, et al.
Science (New York, N.Y.) (2014) 3446187: 1023-8. 140 003 ICC, IHC; tested species: mouse,rat
Active zone protein expression changes at the key stages of cerebellar cortex neurogenesis in the rat.
Juranek JK, Mukherjee K, Siddiqui TJ, Kaplan BJ, Li JY, Ahnert-Hilger G, Jahn R, Calka J
Acta histochemica (2013) 1156: 616-25. 140 003 WB, ICC, IHC
Early steps in the assembly of photoreceptor ribbon synapses in the mouse retina: the involvement of precursor spheres.
Regus-Leidig H, Tom Dieck S, Specht D, Meyer L, Brandstätter JH
The Journal of comparative neurology (2009) 5126: 814-24. 140 003 IHC
Background

RIMs are presynaptic active zone proteins that regulate Ca2+ triggered release of neurotransmitters. RIM 1α and RIM 2α are composed of an N-terminal zinc-finger domain, a central PDZ domain and two C-terminal C2 domains that are seperated by long alternatively spliced sequences.
RIM 1α is a putative Rab 3a effector and has been shown to interact with other active zone proteins like Munc13-1, ERC 1b, ERC 2 and α-liprins. Deletion of RIM 1α in mice impaired neurotransmitter release without changing the structure of the synapse.

Certificates

ISO 9001 2015 Quality Management System and Green Lab Platinum certification level for sustaining laboratory processes.

Newsletter

Sign up for our newsletter and get the latest updates and news.
 

Please provide a valid E-Mail-Address
Please provide a valid First name
Please provide a valid Last name