Synaptophysin1 (p38-1) antibody - 101 009 K.O.

Synaptophysin is a major synaptic vesicle membrane protein and a useful neuroendocrine tumor marker
Chicken monoclonal recombinant IgY
Cat. No.: 101 009
Amount: 50 µg
Price: $420.00
Cat. No. 101 009 50 µg purified recombinant IgY, lyophilized. Albumin and azide were added for stabilization. For reconstitution add 50 µl H2O to get a 1mg/ml solution in PBS. Then aliquot and store at -20°C to -80°C until use.
Antibodies should be stored at +4°C when still lyophilized. Do not freeze!
Applications
 
WB: 1 : 1000 up to 1 : 2000 (AP staining) gallery  
IP: not tested yet
ICC: 1 : 500 up to 1 : 1000 gallery  
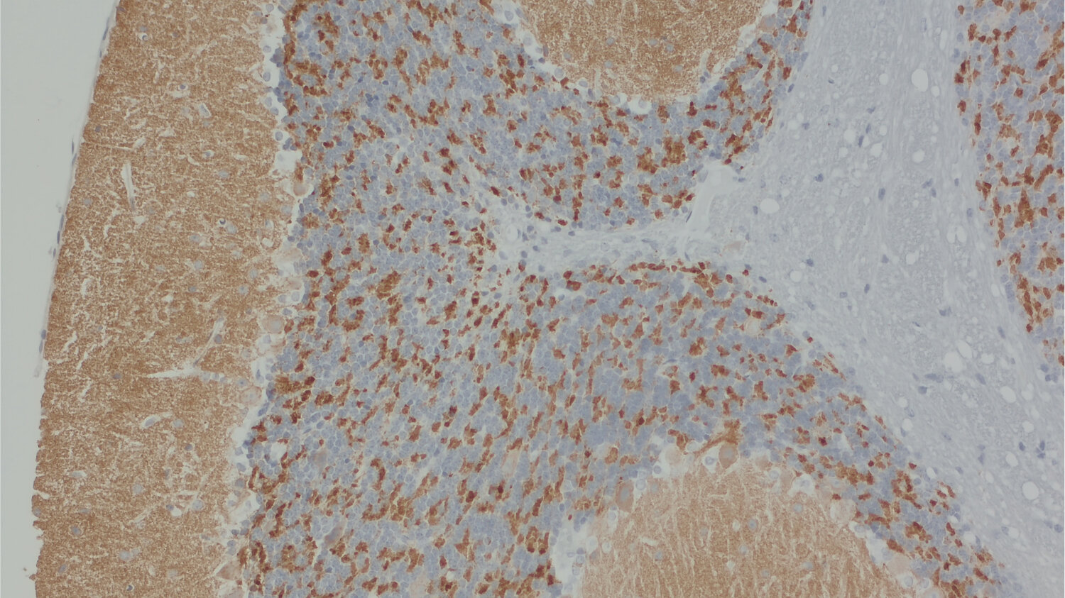
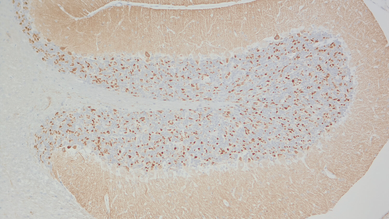
IHC: 1 : 500 up to 1 : 1000 gallery  
IHC-P (FFPE): 1 : 2000 gallery  

Western blot (WB); separation of proteins by PAGE and subsequent transfer to a membrane. Detection of target molecules is carried out with antibodies. Some antibodies require special sample preparation steps. For details, please refer to the “Remarks” section.

Immunoprecipitation (IP); Immunoisolation or pulldown of a target molecule using an antibody. For details and product specific hints, please refer to the ”Remarks” section.

Immunocytochemistry (ICC) on 4% PFA fixed cells. Immunoreactivity is usually revealed by fluorescence. Some antibodies require special fixation methods. For details, please refer to the “Remarks” section.

Immunohistochemistry (IHC) on 4% PFA perfusion fixed tissue with 24h PFA post fixation. Immunoreactivity is usually revealed by fluorescence or a chromogenic substrate. Some antibodies require special fixation methods or antigen retrieval steps. For details, please refer to the ”Remarks” section.

Immunohistochemistry (IHC-P) of formalin fixed, paraffin embedded (FFPE) tissue (some antibodies require special antigen retrieval steps, please refer to the ”Remarks” section). Immunoreactivity is usually revealed by fluorescence or a chromogenic substrate.

Clone Ch7.2
Subtype IgY (λ light chain)
Immunogen Full-length recombinant rat synaptophysin (UniProt Id: P07825)
Epitop AA 219 to 307 from rat Synaptophysin1 (UniProt Id: P07825)
Reactivity Reacts with: human (P08247), rat (P07825), mouse (Q62277), other mammals.
Weaker signal: zebrafish, other vertebrates.
Other species not tested yet.
Specificity K.O. validated
Remarks

This antibody is a chimeric antibody based on the well known monoclonal mouse antibody clone 7.2. The constant regions of the heavy and light chains have been replaced by chicken specific sequences. Therefore, the antibody can be used with standard anti-chicken secondary reagents. The antibody has been expressed in mammalian cells.
Synaptophysin1 is widely used as marker for nerve terminals and neuroendocrine tumors. For still unknown reason, neuronal synaptophysin is better recognized than neuroendocrine synaptophysin. If this is a problem, the polyclonal rabbit antibody, cat. no. 101 002 or 101 203, is recommended.

Data sheet Datasheet 101_009

References for Synaptophysin1 - 101 009

TAOK2 controls synaptic plasticity and anxiety via ERK and calcium signaling.
Ma W, Warnhoff I, Stephan M, Ma X, Dehne K, Volkmann P, Kannaiyan N, Brankatschk B, Jensen N, Rossner MJ, Scheuss V, et al.
iScience (2025) 2811: 113712. 101 009 ICC; tested species: mouse
Cat. No.: 101 009
Amount: 50 µg
Price: $420.00
TAOK2 controls synaptic plasticity and anxiety via ERK and calcium signaling.
Ma W, Warnhoff I, Stephan M, Ma X, Dehne K, Volkmann P, Kannaiyan N, Brankatschk B, Jensen N, Rossner MJ, Scheuss V, et al.
iScience (2025) 2811: 113712. 101 009 ICC; tested species: mouse
Background

Synaptophysin1, also referred to as p38-1, is a membrane glycoprotein of synaptic vesicles that is ubiquitously expressed in all neurons and in many endocrine cells. It is currently the most widely used marker for nerve terminals and probably the best marker for the pathologist in differentiating neuroendocrine tumors.
Synaptophysin1 has four transmembrane domains with both N- and C-terminus facing the cytoplasm. It binds to synaptobrevin1 and synaptobrevin2 in detergent extracts but its function has not been elucidated completely. It forms a complex with dynamin at high Ca2+ concentration suggesting an involvement in synaptic vesicle endocytosis. As typical for synaptic vesicle proteins, synaptophysin1 represents a small protein family with two additonal members, synaptoporin (synaptophysin2) and panthophysin. Like synaptophysin1, synaptoporin is widely expressed in neurons and colocalizes with synaptophysin1 on synaptic vesicles whereas panthophysin is expressed in all tissues.

 

For more information on protein expression pattern, please refer to the overview image in our SYSY Antibodies ATLAS.

Certificates

ISO 9001 2015 Quality Management System and Green Lab Platinum certification level for sustaining laboratory processes.

Newsletter

Sign up for our newsletter and get the latest updates and news.
 

Please provide a valid E-Mail-Address
Please provide a valid First name
Please provide a valid Last name